研究

1型糖尿病、「膵β細胞」の残量が画像で見える

GLP-1受容体を狙うPET/CT検査 早期対策にもつながる可能性 京都大学

PET検査装置で検査を受ける患者と操作する医療スタッフ
PET検査装置で検査を受ける様子。画像はイメージ。(写真:Adobe Stock)

 1型糖尿病で減っていく膵臓のβ細胞を、体を切らずに画像として確認できる新しい技術が開発された。

 β細胞とは、血糖値を下げるインスリンを分泌する重要な細胞。その不足が1型糖尿病の原因になり、早期に病気の悪化を知ることで早期対策につながる可能性がある。

 京都大学の研究グループが新しいPET/CT検査により実現したもので、2026年3月に糖尿病専門の医学誌「Diabetes」で発表した。

β細胞量はこれまで直接評価が難しかった

PETプローブにより膵臓β細胞を可視化する仕組みを示した概念図
新規PETプローブによる膵β細胞の可視化と定量評価の概念図。(出典:京都大学、同大学の榊健太郎氏、一部素材は生成AI ChatGPT-5.2 を用いて作成 )
  • 1型糖尿病では膵臓のβ細胞が減少するが、その量を直接評価する方法はこれまで限られていた。
  • 研究ではβ細胞に多い「GLP-1受容体」を標的にする目印を利用して検出を試みた。
  • 新しいPETプローブを使い、PET/CT検査で膵臓のβ細胞分布を画像として捉える方法を検証した。

 1型糖尿病は、自己免疫などの影響によって膵臓のβ細胞が減ったりなくなったりする病気。体内でインスリンを十分に作れなくなるので、血糖値が上昇し、病気が悪化すればインスリン注射が欠かせなくなる。

 一方で、減っていくβ細胞がどれくらい残っているかは血糖値の変動や治療への反応性にも関わり、正しく知ることが望ましいが、直接評価する方法は限られていた。これまでは血液中の「Cペプチド」と呼ばれる目安などから間接的に推定するしかなかった。

 今回の研究では、β細胞に多い「GLP-1受容体」を標的とした目印を使うことにより、β細胞の量を測定することを目指した。

 その方法は、PET/CT検査と呼ばれる検査を使ったものだ。この検査は、がん検診などでも用いられており、放射性物質が特定の場所に集まる性質を用いて、体外から撮影し、がんの可能性などを調べるために使われている。

 今回の研究では、新しい「PETプローブ」と呼ばれる目印を使い、これが標的のβ細胞に結合して膵臓に集まり、その分布を画像でとらえられるかを検証した。PETプローブは、「[18F]FB(ePEG12)12-exendin-4」という物質を使っている。

 研究では1型糖尿病患者を対象に検査を行い、得られた撮影画像を分析した。

β細胞量が血糖値の管理状況などと関連

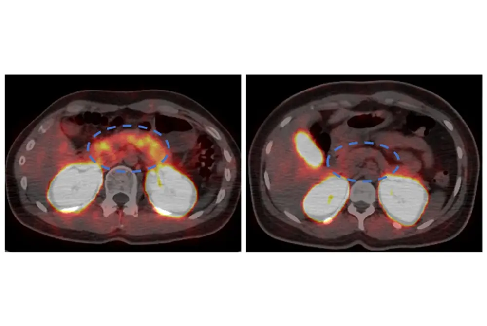
1型糖尿病患者と健常者の膵臓領域を比較したPET/CT画像
1型糖尿病患者(左)と健常者(右)のPET/CT画像。青い点線で囲まれた膵臓領域で、1型糖尿病患者ではシグナルの低下が確認される。(出典:京都大学)
  • 1型糖尿病患者では健康な人より膵臓の画像シグナルが低く、β細胞量の減少が確認された。
  • PET/CT画像の指標は血糖値の管理状態や必要なインスリン量とも関連していた。
  • 重い副作用は確認されず、β細胞量を非侵襲的に評価できる検査として臨床応用が期待される。

 解析の結果、1型糖尿病患者では健康な人と比べて膵臓の画像シグナルが低く、β細胞量が減少していることが示された。

 特に、膵臓でほとんどインスリンを作れなくなっている患者では、健康な人との違いが明確に確認された。

 さらに、このPET/CT検査で撮影された画像から得られる情報は、血糖値の管理状態や治療に必要なインスリン量とも関連していることが分かった。

 検査に伴う重大な副作用は認められず、臨床検査として実施可能であることも確認された。

 この検査を使うことで、膵β細胞の量を体にメスを入れることなく画像として把握できる可能性がある。

 研究グループは、「今後、免疫療法など、β細胞の減少を抑える発症予防や進展阻止治療や、再生医療・細胞治療の開発において、治療効果を客観的に評価する指標としての活用が期待されます」と展望を述べている。

 この検査により、病気の早期対策が行いやすくなる可能性がある。

参考文献

1型糖尿病の“見える”膵臓評価を可能に―新規PET検査による膵β細胞量評価―(京都大学)

https://www.kyoto-u.ac.jp/ja/research-news/2026-03-13-1

星良孝

この記事の執筆者

星良孝

PRENOVO編集長。東京大学農学部獣医学課程卒。日経BPにて「日経メディカル」「日経バイオテク」「日経ビジネス」の編集・記者を担当後、エムスリーなどを経て2017年にステラ・メディックスを設立。ヘルスケア分野を中心に取材・発信を続ける。獣医師。

ARCHIVE

新着記事

関連する病気から探す

カテゴリーから探す

あなたの立場から探す

あなたの関心から探す